
Achieve a Radiant Smile With Modern Cosmetic Dentistry
Dr. Jordan and Dr. Pham have invested in countless hours of continuing education to learn the latest and most comprehensive techniques in cosmetic dentistry near you. They understand that people want a dazzling SMILE, not just beautiful teeth. We use cutting edge dental technology to deliver a smile that will wow the room.
Options to Enhance Your Smile
Just as no two people are the same, no two smiles are the same. Dr. Jordan or Dr. Pham leading dentists in RSM will help you make an informed choice on what cosmetic method is best for your oral health and smile. Whether you have a small chip in your tooth, or your smile needs a complete makeover, we can help find the best option for a dentist near you. We offer a wide range of cosmetic dentistry services, including teeth whitening, direct resin bonding, porcelain veneers, porcelain crowns, and dental implants.

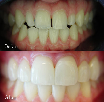
Teeth Whitening
Teeth whitening is a common procedure used by patients all over the world to achieve a brighter and healthier looking smile. This is a simple and pain-free procedure to get the white smile you’ve always wanted.
View More

Direct Resin Bonding
Advancements in dental materials allow us to directly bond custom-matched tooth-colored resin to broken or chipped teeth, restoring the natural form and function of your teeth.
View More

Porcelain Veneers
Porcelain veneers are thinly crafted laminates which can change the look of your teeth. Applied to individual teeth, veneers can change the size, shape, and color of your teeth to create the smile of your dreams.
View More

Porcelain Crowns
Crowns are sometimes necessary to restore broken or damaged teeth. Dr. Jordan and Dr. Pham utilize only the finest metal-free restorations so that your teeth and your smile look as natural and beautiful as possible.
View More

Clear Aligners
Frustrated with misalignment or imperfections in your smile? Clear aligners from Jordan & Pham Dentistry in Rancho Santa Margarita, CA, offer a fast, effective solution for a straighter, more radiant smile.
View More
For more information about transforming your smile with Jordan & Pham Dentistry, visit or call our dentist Rancho Santa Margarita, CA.
Searching cosmetic dentist near me in surrounding locations of Mission Viejo, Coto De Caza, Ladera Ranch, Las Flores, Aliso Viejo, Laguna Hills, Dove Canyon? Schedule an appointment with us today and avail services immediately. We are committed to providing our patients with the highest quality care and the most natural-looking results.
Smile Gallery







Frequently Asked Questions
Cosmetic dentistry focuses on enhancing the appearance of your teeth, gums, and smile using treatments like whitening, veneers, and bonding for a more confident look.

