
Dentist in Rancho Santa Margarita, CA
Welcome to Jordan & Pham Dentistry
Trying to find a dentist near you? Look no further than the team at Jordan & Pham Dentistry. We believe that our patients deserve the very best. Therefore, at our dental office, we treat each individual as we would a member of our own family. We provide friendly small town service combined with 21st Century technology. No two people are the same, nor are two smiles. We pride ourselves on providing the high standards and exquisite attention to detail that you deserve while always respecting your individual needs and desires. We provide the kind of individualized attention that is very rarely encountered in this day and age. Our team provides complete dental treatment, including dental implants, one-visit crowns, clear aligners, and teeth whitening, as well as cosmetic dentistry. Rest assured that your comfort is our first priority when you visit a dentist. For years we’ve served patients seeking a dentist near Mission Viejo, Coto De Caza, Ladera Ranch, Las Flores, Aliso Viejo, Laguna Hills, Dove Canyon, or Rancho Santa Margarita, and we’d love to do the same for you. Schedule an appointment online today!
Learn More
Tailored Dental Solutions Designed for Your Smile
Dental Implants
Restore your smile with dental implants—secure, natural-looking replacements for missing teeth that enhance function and confidence.
Clear Aligners
Straighten your teeth discreetly with clear aligners — comfortable, removable, and nearly invisible for a confident smile transformation.
Periodontal Therapy
Protect your gums and overall oral health with periodontal therapy—targeted treatments to prevent, manage, and reverse gum disease.
Came for ZOOM whitening, and it was a 10/10 experience. Everyone in the office was warm and genuine, and my teeth look so white (without sensitivity!), thanks to Shannon L. She was informative, gracious, and so comforting, I fell asleep. Thank you, Jordan & Pham Dentistry!
- Joyce Y.
Meet The Doctors
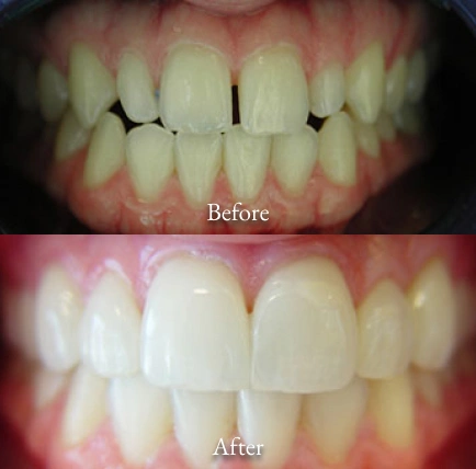
Stunning Smile Transformations
Explore stunning transformations in our Smile Gallery! At Jordan & Pham Dentistry, we take pride in creating beautiful, confident smiles for every patient.
Your First Look at Our Professional Dental Environment
Frequently Asked Questions
Our practice combines advanced dental technology with personalized care. We focus on patient comfort, transparent communication, and customized treatment plans to ensure every patient receives high-quality, stress-free dental care.




















